Περιστατικό από τον Ανδρέα Χατζημπατζάκη
Με το CERABIEN™ ZR, η Kuraray Noritake Dental Inc. προσφέρει ένα ολόκληρο χαρτοφυλάκιο πορσελάνης για το φινίρισμα αποκαταστάσεων με βάση το ζιρκόνιο. Αρχικά αναπτύχθηκε για πολύπλοκες τεχνικές διαστρωμάτωσης, οι συνθετικές σκόνες πορσελάνης από άστριο, τα υγρά κεραμικά, οι εσωτερικές και εξωτερικές χρωστικές, επιτρέπουν τη δημιουργία όμορφων οδοντιατρικών έργων τέχνης. Μας αρέσει να εργαζόμαστε με το σύστημα καθώς προσφέρει σταθερό χειρισμό και μηχανικές ιδιότητες, επιτρέποντάς μας να παράγουμε προβλέψιμα αποτελέσματα.
Ωστόσο, η πολυπλοκότητα του συστήματος με τον τεράστιο αριθμό διαφορετικών αποχρώσεων μπορεί να δημιουργήσει προκλήσεις σε λιγότερο έμπειρους χρήστες. Αυτή η πολυπλοκότητα αυξάνεται περαιτέρω όταν χρησιμοποιούνται διαφορετικά υλικά υποδομής, καθώς το CERABIEN™ ZR λειτουργεί αποκλειστικά σε ζιρκονία, έτσι ώστε οι χρήστες θα πρέπει να επιλέξουν και να διαχειριστούν ένα δεύτερο σύστημα πορσελάνης όταν επιλέγουν, για παράδειγμα, σκελετό διπυριτικού λιθίου.
Για τους οδοντοτεχνίτες που θα ήθελαν να το διατηρήσουν έξυπνα απλό, η νέα σειρά CERABIEN™ MiLai είναι σίγουρα μια εξαιρετική λύση. Ειδικά σχεδιασμένο για μικρο-στρώσεις σε προ-χρωματισμένα, εξαιρετικά φωτοδιαπερατά υλικά, όπως διπυριτικό λίθιο ή ζιρκονία τελευταίας γενιάς, οι πορσελάνες CERABIEN™ MiLai και οι εσωτερικοί χρωματισμοί μπορούν να εφαρμοστούν σε ένα λεπτό (μικρο-) στρώμα σε αποκαταστάσεις με μικρό (προστομιακό) cut back. Ακριβώς όπως το CERABIEN™ ZR, το νέο σύστημα βασίζεται σε συνθετική πορσελάνη feldspathic παρέχοντας σταθερές ιδιότητες, αλλά η σειρά περιορίζεται σε 15 εσωτερικές χρωστικές και 16 πορσελάνες. Καθώς το CERABIEN™ MiLai έχει θερμοκρασία ψησίματος 740 °C (1.364 °F), λειτουργεί σε κεραμικά οξειδίου όπως η ζιρκονία, αλλά και σε κεραμικά ενισχυμένα πυριτικά όπως το διπυριτικό λίθιο*.
*Το υλικό πρέπει να έχει τιμή CTE εντός 10,2-10,5×10-6/K (50 °C – 500 °C)
Κατά συνέπεια, το σύστημα μπορεί να χρησιμοποιηθεί ως το καθολικό σύστημα πορσελάνης για μικρο-διαστρωματώσεις σε αισθητικά κεραμικά. Με το λεπτό χαρτοφυλάκιό του, ταιριάζει πολύ καλά στη φιλοσοφία της δημιουργίας εντυπωσιακών αποκαταστάσεων με λιγότερα υλικά, στρώματα και όπτηση, όπως αποδεικνύεται σε δύο διαφορετικά παραδείγματα περιπτώσεων παρακάτω.
ΟΨΕΙΣ ΜΕ ΒΑΣΗ ΤΟ ΔΙΠΥΡΙΤΟ ΛΙΘΙΟΥ

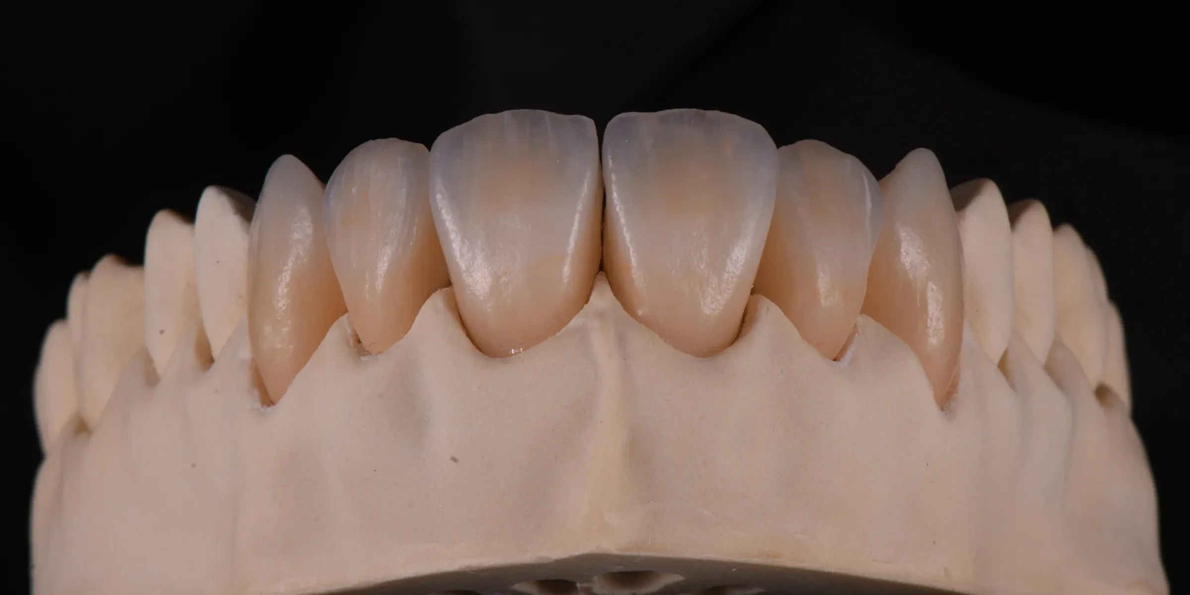
Εικ. 1. Έξι πρόσθιες όψεις από διπυριτικό λίθιο (Amber Press LTA2 HASS Bio), σχεδιασμένες με μικρό cut back για να δημιουργηθεί ο χώροσ που απαιτείται για μικρο-στρώσεις.

Εικ. 2. Οι αποκαταστάσεις μετά την εφαρμογή του CERABIEN™ MiLai. Το Value Liner 1 ως βάση, ακολουθούμενο από όπτηση wash και εσωτερική χρώση. Αυτός ο τύπος πορσελάνης αυξάνει τη χρωματική αξία των αποκαταστάσεων διπυριτικού λιθίου. Χρωματίζοντας τον πυρήνα, ελέγχουμε το χρώμα και προσθέτουμε κάποια εσωτερικά χαρακτηριστικά εφέ. Σε αυτή την περίπτωση προσθέσαμε το Cervical 2 στην αυχενική περιοχή και χαρακτηρίσαμε το κοπτικό τριτημόριο με Cervical 2 και Incisal Blue 1 & 2.

Εικ. 3. Πρώτη στρώση πορσελάνης που αποτελείται από CERABIEN™ MiLai LT1 που εφαρμόζεται στον αυχένα, ELT1 στο μεσαίο τρίτημόριο και TX στο κοπτικό τριτημόριο πριν από…

Εικ. 4. … και μετά την πρώτη όπτηση.

Εικ. 5. Εφαρμογή εσωτερικών χρωματισμών για ειδικά εφέ όπως ρωγμές, έντονο χρωματισμό κ.λπ.

Εικ. 6. Δεύτερη στρώση πορσελάνης που αποτελείται από CERABIEN™ MiLai LT1 που εφαρμόζεται στους κυνόδοντες καθώς και στο αυχενικό τρίτο των κεντρικών και πλάγιων τομέων, ενώ το μεσαίο και το κοπτικό τριτημόριο των τεσσάρων κεντρικών εξατομικεύεται με LTx.

Εικ. 7. Ολοκληρωμένες αποκαταστάσεις στο κύριο εκμαγείο.

Εικ. 8. Πλάγια όψη των αποκαταστάσεων που αναδεικνύει τη φυσική επιφανειακή τους υφή.
ΠΡΟΣΘΙΑ ΓΕΦΥΡΑ ΜΕ ΒΑΣΗ ΣΕ ΖΙΡΚΟΝΙΑ

Εικ. 1. KATANA™ Zirconia HTML Plus (απόχρωση Α2) αμέσως μετά την κοπή.

Εικ. 2. Εμφάνιση της υποδομής μετά τη σύντηξη.

Εικ. 3. Υψηλή ημιδιαφάνεια της ζιρκονίας με τις εφαρμοζόμενες χρωστικές CERABIEN™ MiLai και κεραμικά σε δόντια και ούλα.

Εικ. 4. Υπερώια οπτική της εξατομικευμένης αποκατάστασης πριν από τη διαδικασία όπτησης.

Εικ. 5. Αποκατάσταση έτοιμη για δοκιμή.
ΣΥΜΠΕΡΑΣΜΑ
Οι δύο διαφορετικές περιπτώσεις επιβεβαιώνουν ότι το CERABIEN™ MiLai λειτουργεί πολύ καλά σε διπυριτικό λίθιο και ζιρκονία. Παρά τον μειωμένο αριθμό χρωστικών και αποχρώσεων, είναι δυνατή η απομίμηση των περισσότερων από τις αποχρώσεις και τα εξατομικευμενα χαρακτηριστικά που βρίσκονται στα φυσικά δόντια, τα οποία είναι σημαντικά για ρεαλιστικά αποτελέσματα. Ως εκ τούτου, το νέο υλικό αξίζει να δοκιμαστεί από όλους όσους προτιμούν τυποποιημένες και απλουστευμένες διαδικασίες.



